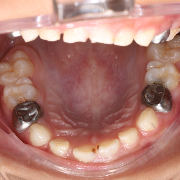
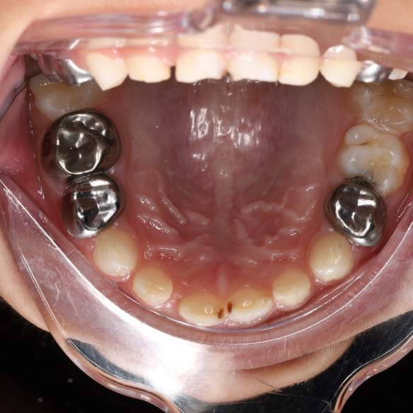
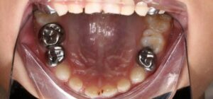
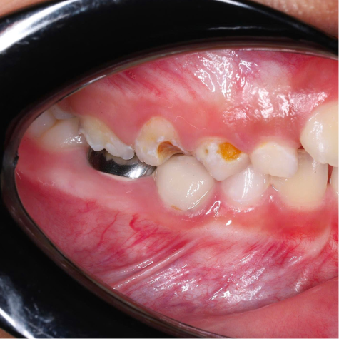
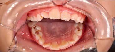
SSC (Stainless Steel Crown) là mão răng bằng thép không gỉ, được thiết kế sẵn với nhiều kích cỡ khác nhau, thường dùng để phục hồi răng sữa đã bị sâu lớn hoặc tổn thương nặng. Đây là một dạng phục hình toàn phần bao phủ toàn bộ thân răng, giúp bảo tồn và duy trì chức năng của răng sữa cho đến khi thay răng vĩnh viễn.
Tại sao mão SSC được lựa chọn cho răng sữa?
Độ bền cao
- Mão thép không gỉ có khả năng chịu lực tốt, ít bị gãy vỡ so với các vật liệu trám thông thường.
- Bảo tồn răng tối đa
Duy trì được răng sữa đến đúng thời điểm thay răng, ngăn ngừa mất khoảng và sai lệch cung răng.
- Giúp răng giữ chức năng nhai, phát âm và thẩm mỹ trong giai đoạn phát triển.
- Bảo vệ răng sau điều trị tủy
Mão SSC giúp bao phủ toàn bộ thân răng, giảm nguy cơ nứt vỡ và tái nhiễm khuẩn.
- Hiệu quả kinh tế – lâm sàng
Là lựa chọn có chi phí hợp lý so với các loại mão sứ, zirconia.
- Thời gian thực hiện nhanh, phù hợp cho trẻ nhỏ khó hợp tác lâu trên ghế nha.
- Tỉ lệ thành công cao













