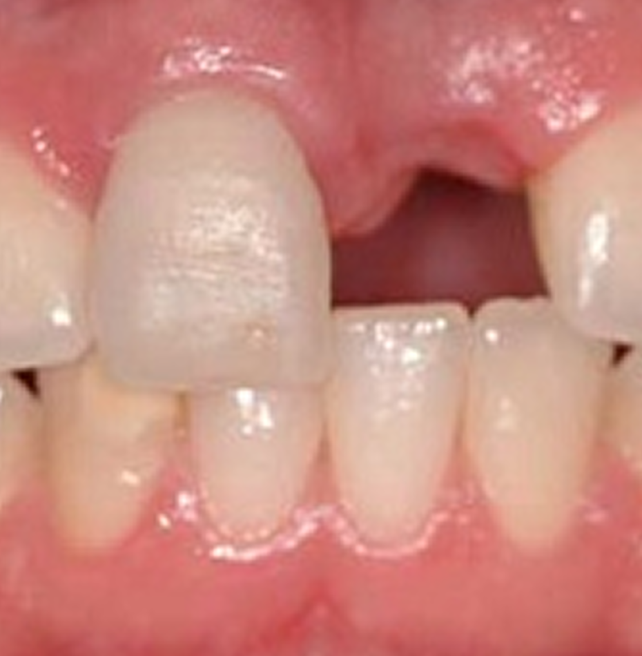
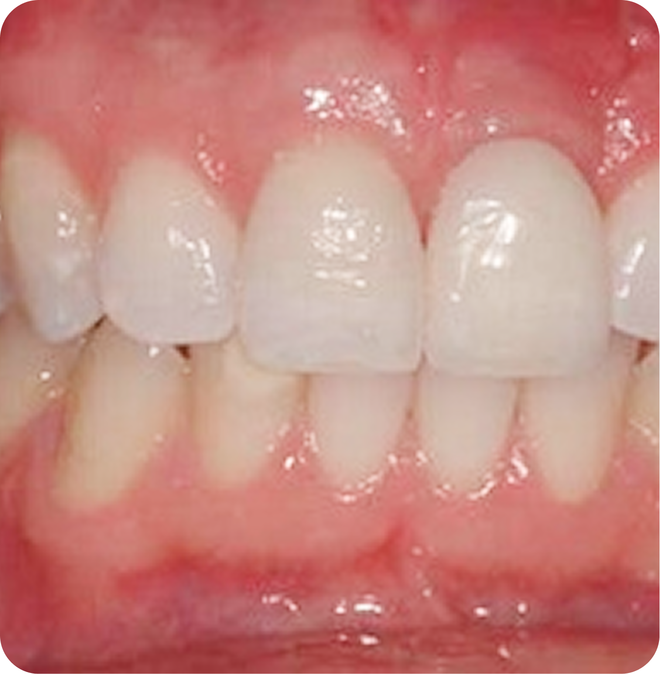
Những ai nên trồng răng Implant 1 răng?
Trồng răng implant 1 răng là giải pháp hiện đại dành cho những người bị mất một răng, giúp khôi phục chức năng ăn nhai và thẩm mỹ. Tuy nhiên, không phải ai cũng phù hợp để thực hiện phương pháp này. Dưới đây là những trường hợp phù hợp và các điều kiện cần thiết:
-
Người mất một răng:
Do sâu răng, chấn thương hoặc bệnh lý răng miệng và muốn phục hồi răng đã mất.
-
Người có răng kế cận khỏe mạnh:
Không muốn mài răng bên cạnh như khi làm cầu răng sứ.
-
Người muốn phục hồi chức năng ăn nhai và thẩm mỹ:
Implant giúp răng chắc chắn, ăn nhai tốt và trông tự nhiên như răng thật.
-
Người muốn cải thiện sức khỏe xương hàm:
Implant giúp ngăn ngừa tình trạng tiêu xương hàm, giữ cho khuôn mặt không bị biến dạng do mất răng.
-
Người muốn phục hồi toàn diện răng miệng:
Giải pháp này không chỉ phục hồi thẩm mỹ mà còn giúp cải thiện chức năng nhai, phát âm và sức khỏe chung.

